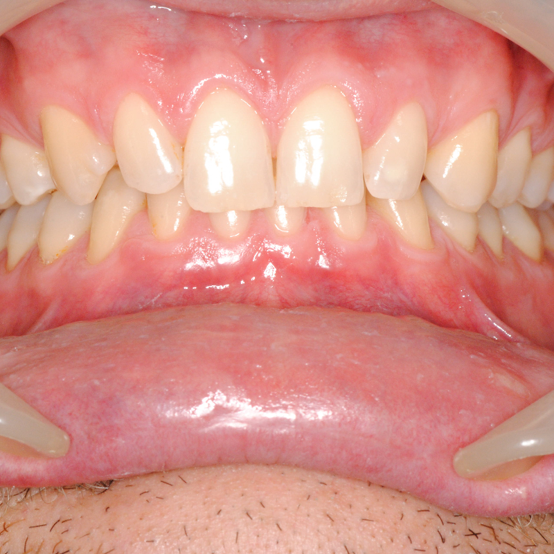
Il dentista analizza la situazione della bocca e ascolta le esigenze del paziente.
Ogni decisione nasce da un confronto chiaro e personalizzato, per definire se le faccette sono la soluzione più adatta.
Quando indicato, i denti vengono preparati in modo conservativo.
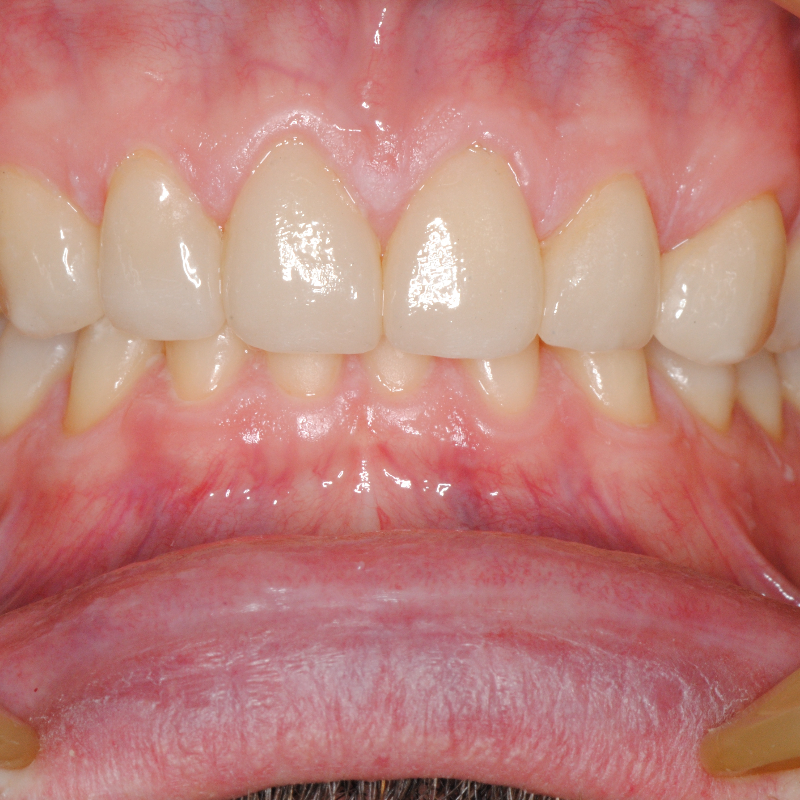
Il paziente può valutare forma e risultato finale prima dell’applicazione definitiva, per una scelta consapevole e senza sorprese.
Le faccette vengono applicate con precisione, migliorando l’estetica del sorriso in modo stabile e naturale.
Il risultato è studiato per integrarsi perfettamente con il resto dei denti.






Risultato naturale
Le faccette sono progettate per integrarsi con i denti esistenti, migliorando estetica e luminosità del sorriso senza effetti artificiali.
Intervento conservativo
Il trattamento è pensato per rispettare la struttura dentale, intervenendo solo dove necessario e con un approccio graduale.
Comfort e rapidità
Le sedute sono ben tollerate e il percorso è studiato per ridurre al minimo disagi e tempi di trattamento.
Soluzione personalizzata
Ogni sorriso è diverso: per questo le faccette vengono progettate in base alla bocca, al viso e alle aspettative del paziente.
Sì, ogni trattamento estetico deve partire da una valutazione personalizzata.
Il costo varia in base al numero di faccette e alla situazione clinica. Una visita è fondamentale per una valutazione corretta.
No, se viene effettuata una corretta igiene orale e si eseguono controlli regolari, le faccette dentali mantengono nel tempo il loro colore e un aspetto naturale.
Il trattamento è confortevole e ben tollerato. Eventuali fastidi sono generalmente minimi.
Il numero di sedute varia in base al caso, ma il percorso è generalmente ben definito e pianificato.
No, pur preservando la naturale struttura del dente le faccette sono un trattamento definitivo e duraturo nel tempo.
No, permettono di tornare a una masticazione normale senza particolari limitazioni.
Le faccette dentali sono un trattamento definitivo
Sì, l’obiettivo è migliorare il sorriso mantenendo un aspetto armonioso e proporzionato al viso.
Se correttamente indicate e applicate, rispettano la struttura del dente e non ne compromettono la salute.
Dipende dalla situazione della bocca. Una visita permette di valutare se le faccette sono la soluzione più indicata.