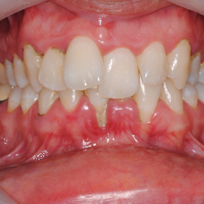
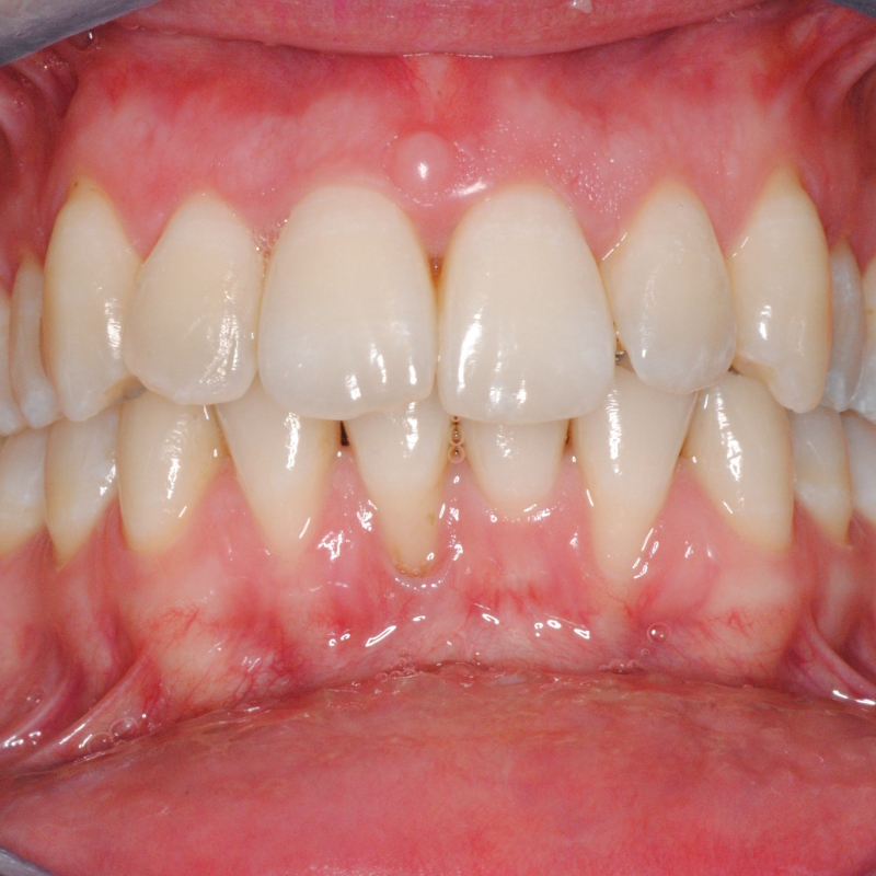
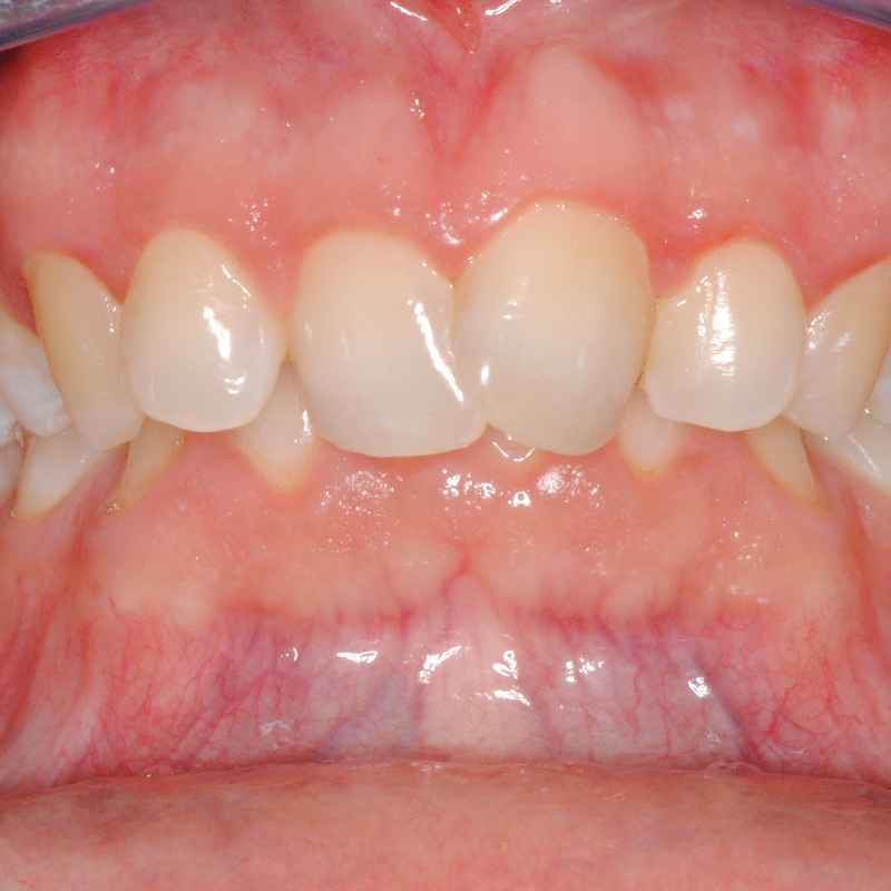
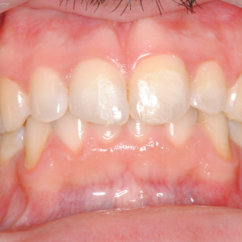
L’ortodonzia corregge la chiusura tra le arcate, migliora la masticazione e riduce il rischio di sovraccarichi articolari e usura dentale.
Un corretto allineamento rende il sorriso più armonioso, valorizzando l’estetica del volto e aumentando sicurezza e benessere personale.
Denti ben allineati sono più facili da pulire, riducendo il rischio di carie, gengiviti e problematiche parodontali nel tempo.






Correzione efficace
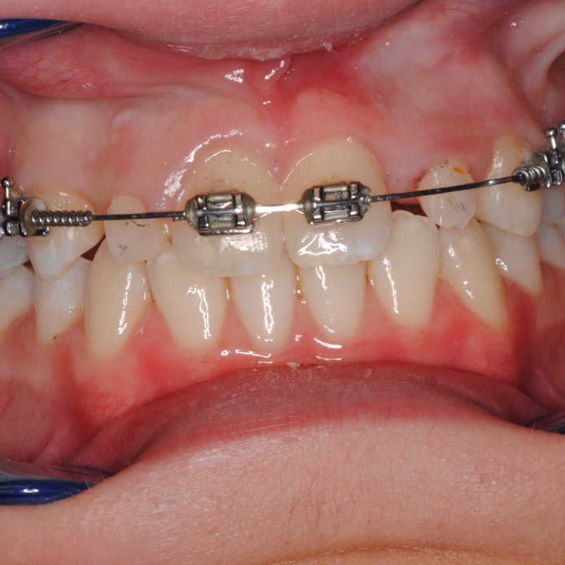
L’apparecchio fisso consente movimenti dentali precisi, ideali anche per malocclusioni complesse.
Controllo costante
Le regolazioni periodiche permettono di monitorare i progressi e ottimizzare ogni fase del trattamento.
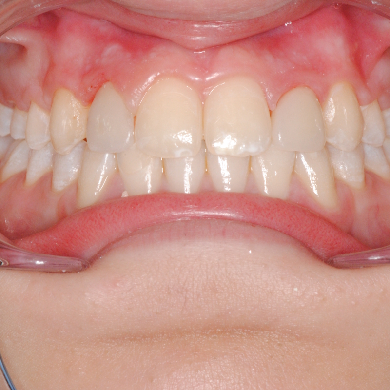
Risultati duraturi
L’allineamento corretto garantisce stabilità nel tempo con adeguate contenzioni finali.
Salute e prevenzione
Un’occlusione equilibrata riduce il rischio di carie, gengiviti e disturbi dell’articolazione mandibolare.
Sì, in molti casi l’ortodonzia invisibile rappresenta una valida alternativa all’apparecchio fisso, soprattutto per disallineamenti lievi o moderati. Utilizza aligner trasparenti e rimovibili che garantiscono discrezione e comfort. Scopri tutti i dettagli nella pagina dedicata all’Ortodonzia Invisibile.
In presenza di malocclusioni può contribuire a ridurre tensioni muscolari correlate.
Sì, con l’utilizzo corretto delle contenzioni.
Il costo varia in base alla complessità del caso.
È indicato in casi specifici e nelle fasi di crescita.
Sì, con eventuali protezioni se necessario.
Serve maggiore attenzione e strumenti specifici.
Generalmente ogni 4-6 settimane.
Sì, sono disponibili bracket in ceramica meno visibili.
Dipende dal caso clinico, in media da 12 a 24 mesi.
Può causare un lieve fastidio iniziale, generalmente temporaneo.
In età evolutiva è ideale, ma è efficace anche negli adulti.