I trattamenti di odontoiatria estetica, come sbiancamento e infiltrazioni in resina, valorizzano il sorriso correggendo discromie e piccole imperfezioni, aumentando la fiducia in sé stessi nelle relazioni quotidiane.
Oltre all’aspetto estetico, molte procedure proteggono i denti da carie iniziali e riducono l’usura dentale, migliorando la funzionalità masticatoria senza compromettere la bellezza del sorriso.
Un sorriso curato favorisce autostima e serenità. I trattamenti personalizzati offrono risultati naturali e duraturi, trasformando la cura estetica dei denti in un’esperienza positiva e gratificante.






Migliore estetica
Sorriso luminoso e armonioso, valorizzando i lineamenti naturali del volto.
Correzione dei difetti
Risolve discromie, macchie e imperfezioni senza interventi invasivi.
Salute dentale
Migliora lo smalto e la protezione dei denti, prevenendo danni futuri.
Sicurezza e comfort
Trattamenti precisi e personalizzati con tecnologie moderne e indolori.
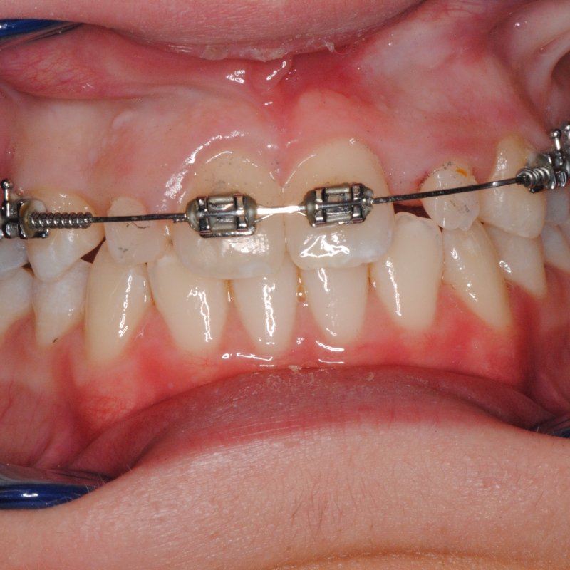
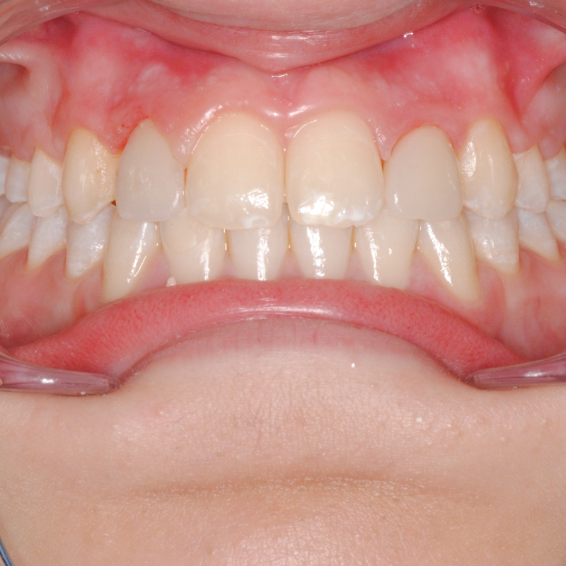
Le macchie bianche vengono mascherate, il colore del dente risulta uniforme e il sorriso appare più armonioso senza dover ricorrere a limature o interventi invasivi.
No, il trattamento è indolore e non richiede anestesia nella maggior parte dei casi. È veloce, sicuro e preserva la struttura naturale del dente.
È un trattamento minimamente invasivo che riempie e uniforma le macchie bianche sui denti senza limarli, migliorando l’estetica del sorriso in modo naturale.
Puoi prenotare facilmente utilizzando il modulo prenotazioni sul sito o chiamando il numero 06.5190403.
I trattamenti conservativi sono indicati generalmente dagli adolescenti in su, mentre lo sbiancamento dentale è consigliato solo dalla maggiore età, sempre sotto valutazione del dentista per garantire sicurezza ed efficacia.
Sì, ogni piano è personalizzato: ad esempio si possono associare sbiancamento e infiltrazioni, oppure preparare il sorriso per eventuali faccette dentali.
Un sorriso più luminoso, uniforme e armonioso, con denti protetti e una maggiore fiducia nel mostrare il sorriso.
Tutti i nostri interventi sono minimamente invasivi e, se necessario, prevedono anestesia locale leggera o tecniche per ridurre il disagio.
La durata varia dal tipo di intervento.
Le infiltrazioni riempiono e rinforzano piccole carie o macchie superficiali senza intaccare la struttura dentale sana, preservando il dente e migliorandone l’estetica.
Sì, utilizziamo prodotti professionali controllati e tecniche sicure che rispettano lo smalto e riducono sensibilità, con risultati visibili e duraturi.
L’odontoiatria estetica include interventi conservativi e sbiancamenti, mentre le faccette dentali sono un trattamento premium per modificare forma, colore e allineamento dei denti.
Presso lo Studio Arena a Roma EUR offriamo sbiancamento dentale, infiltrazioni in resina e altre procedure conservative per armonizzare il sorriso.
L’odontoiatria estetica è la branca della odontoiatria che si occupa di migliorare l’aspetto del sorriso, correggendo discromie, imperfezioni dentali e difetti estetici, preservando al contempo la salute e la funzionalità dei denti.