L’estrazione dei denti del giudizio e altri interventi risolve rapidamente dolore e gonfiore, migliorando la qualità della vita quotidiana.
La chirurgia consente di prevenire infezioni, danni ai denti vicini e complicazioni gengivali, proteggendo la tua bocca nel tempo.
Grazie a protocolli moderni e strumentazioni avanzate, il post-operatorio è monitorato attentamente per garantire un recupero rapido e senza complicazioni.






Esperienza
60 anni di professionalità nel trattamento chirurgico orale a Roma EUR.
Tecnologia
Strumentazioni moderne per interventi sicuri e minimamente invasivi.
Comfort
Procedure pensate per ridurre dolore e ansia, con assistenza continua.
Personalizzazione
Interventi studiati su misura per ogni paziente, dall’estrazione alla rigenerativa.
Per esperienza decennale, professionalità del Dott. Arena e del team, tecnologie moderne, approccio personalizzato e attenzione al comfort del paziente a Roma EUR.
La chirurgia orale elimina dolore e infezioni, previene danni ai denti vicini, favorisce la salute gengivale e accelera la guarigione, migliorando la qualità della vita.
Si consiglia riposo, igiene orale controllata, applicazione di ghiaccio per gonfiore e assunzione di farmaci se prescritti. Il team dello Studio Arena guida il paziente passo passo nel post-operatorio.
Sì, lo Studio Arena adotta approcci No Pain e protocolli mirati per ridurre ansia e discomfort, garantendo comfort e sicurezza in tutte le fasi del trattamento.
Il costo varia in base alla complessità e alla posizione del dente. Lo Studio Arena fornisce un preventivo trasparente e personalizzato dopo una valutazione accurata.
I rischi sono minimi se l’intervento è eseguito da professionisti esperti. Complicazioni come infezioni o sanguinamenti sono rarissime grazie alle tecniche e ai protocolli dello Studio Arena.
Si utilizzano anestesia locale, strumenti moderni e protocolli di sterilità avanzati. In alcuni casi sono previste radiografie o TAC 3D per pianificare con precisione l’intervento.
Il recupero varia in base alla complessità dell’intervento, ma in generale, seguendo le indicazioni del Dott. Arena, è rapido e sicuro, con riduzione di gonfiore e dolore entro pochi giorni.
No, grazie all’anestesia locale e alle tecniche moderne utilizzate dallo Studio Arena a Roma EUR, l’intervento è indolore. Eventuali fastidi post-operatori sono gestiti con farmaci e consigli mirati.
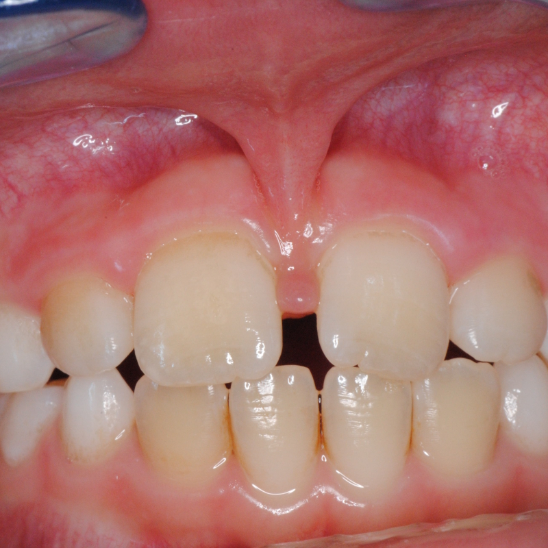
È necessaria in caso di denti malposizionati, carie profonde, infezioni o dolore persistente che può compromettere la salute degli altri denti.
La chirurgia orale è una branca dell’odontoiatria che si occupa di interventi sul cavo orale, come estrazioni dentali, rigenerazioni ossee e trattamenti gengivali complessi.