Il dentista posiziona l’impianto in titanio nell’osso mascellare o mandibolare con tecniche precise e minimamente invasive, spesso supportate da implantologia computer guidata, che consente una pianificazione estremamente accurata dell’intervento. In molti casi è possibile intervenire anche senza bisturi, riducendo al minimo fastidi, gonfiore e tempi di recupero, per un’esperienza più confortevole per il paziente.
Dopo l’inserimento, l’impianto si integra naturalmente con l’osso circostante, creando una base stabile e sicura per il dente definitivo. Questo passaggio è fondamentale per garantire durata e funzionalità. In presenza delle giuste condizioni, è possibile ricorrere anche a protocolli di implantologia post estrattiva a carico immediato, riducendo notevolmente i tempi del trattamento.
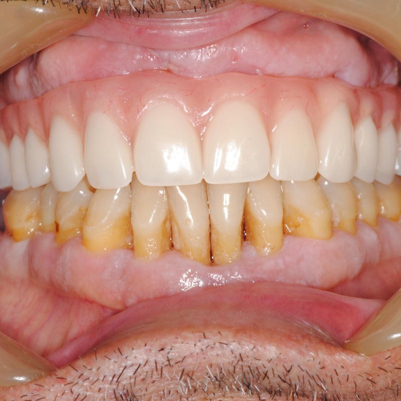
Quando l’impianto è stabile, il dentista procede a posizionare la protesi: corona, ponte o dentiera su misura. In alcuni casi selezionati è possibile riabilitare anche un’intera arcata in 24 ore, permettendo al paziente di tornare a sorridere e masticare in tempi molto rapidi. La forma, il colore e l’armonia del sorriso sono studiati per un risultato naturale e confortevole.






Una soluzione stabile nel tempo
L’impianto consente di sostituire i denti mancanti in modo affidabile e duraturo, aiutando a mantenere l’equilibrio della bocca e a preservare nel tempo la struttura ossea.
Naturalezza nel sorriso e nella masticazione
Il dente su impianto si integra perfettamente con gli altri, restituendo una masticazione efficace e un risultato estetico armonioso, molto simile a quello dei denti naturali.
Trattamento confortevole
Le tecniche utilizzate permettono di intervenire con precisione e gradualità, riducendo al minimo fastidi e tempi di recupero, per un’esperienza più serena per il paziente.
Percorso personalizzato
Ogni trattamento viene studiato in base alle reali condizioni della bocca, alle abitudini e alle aspettative del paziente, per offrire una soluzione realmente su misura.
No, i trattamenti implanto-protesici sono mirati a preservare i denti naturali, senza la necessità di ridurre o preparare i denti sani adiacenti.
Il costo varia in base alla situazione clinica e al numero di denti da sostituire. Ogni bocca è diversa: prenota una valutazione personalizzata allo Studio Dentistico Arena all’EUR per ricevere un preventivo su misura.
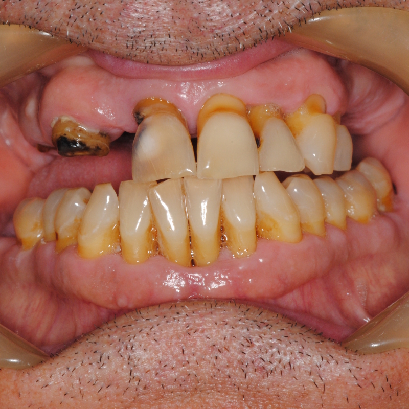
È indicata per chi deve sostituire una dentiera o denti non più recuperabili. Permette di avere denti fissi in tempi rapidi, previa valutazione clinica del dentista.
Come i denti naturali: spazzolatura quotidiana, filo interdentale e controlli periodici dal dentista. Una buona igiene previene infiammazioni e malattie parodontali.
Sì, possono rallentare la guarigione o aumentare il rischio di complicazioni. Il dentista valuterà precauzioni e consigli personalizzati prima dell’intervento.
Il titanio è biocompatibile, quindi non si parla di rigetto vero e proprio. In alcuni casi può mancare l’osteointegrazione, ma l’impianto può essere sostituito facilmente.
Dipende dalla situazione della bocca e dal tipo di protesi. Lo specialista valuterà il numero ideale per garantire stabilità, funzione e comfort ottimali.
In alcuni casi è possibile applicare denti provvisori già nella stessa seduta. La decisione dipende dalla qualità dell’osso e dalla valutazione clinica del dentista.
L’integrazione dell’impianto con l’osso richiede in genere alcune settimane. Durante questo periodo il dentista monitora la stabilità prima di posizionare la protesi definitiva.
No, l’intervento viene eseguito con anestesia locale e tecniche minimamente invasive. I pazienti avvertono solo un leggero fastidio post-operatorio, facilmente gestibile.
Quasi tutti i pazienti con buona salute generale e sufficiente osso mascellare o mandibolare. Ogni caso viene valutato singolarmente per garantire sicurezza e risultato ottimale.
È la tecnica che permette di sostituire uno o più denti mancanti con impianti in titanio, creando una base stabile per denti fissi dall’aspetto naturale e funzionali come quelli naturali.