→ Per un sorriso sano
→ Urgenze dentali H24

Ortodonzia Invisibile

Allinea i denti con l’ortodonzia invisibile: trattamento discreto, confortevole e personalizzato. Prenota ora la tua consulenza specialistica.

Ortodonzia Invisibile

Allinea i denti con l’ortodonzia invisibile: trattamento discreto, confortevole e personalizzato. Prenota ora la tua consulenza specialistica.

Cos’è l’Ortodonzia Invisibile

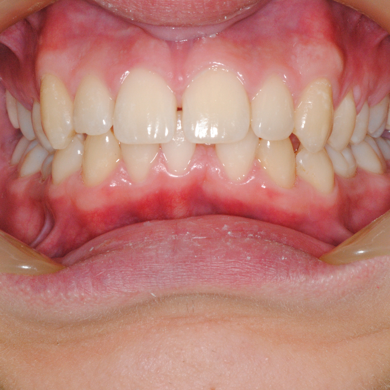
Disallineamento dentale e malocclusioni
Denti disallineati, affollamento, spazi e malocclusioni possono compromettere non solo l’estetica del sorriso, ma anche la corretta masticazione e la salute orale nel tempo. 

L’ortodonzia invisibile consente di intervenire in modo progressivo e discreto, migliorando funzione, equilibrio occlusale e armonia del sorriso senza ricorrere ad apparecchi tradizionali visibili.

Cosa prevede il trattamento

Pianificazione e percorso personalizzato
Il trattamento inizia con una scansione digitale 3D che analizza con precisione la posizione dei denti

Grazie a tecnologie ortodontiche avanzate viene simulato il percorso di allineamento, mostrando il risultato previsto

Gli aligner su misura vengono poi sostituiti progressivamente per guidare i denti verso la posizione ideale in modo graduale e controllato.

I Vantaggi del trattamento

Precisione digitale

La pianificazione digitale consente di prevedere ogni fase dello spostamento dentale, garantendo controllo, sicurezza e risultati progressivi e misurabili.

Comfort e discrezione

Gli aligner sono trasparenti, sottili e rimovibili. Consentono di sorridere senza imbarazzo e di mantenere una normale vita sociale e professionale.

Funzione ed estetica

Il trattamento migliora non solo l’armonia del sorriso, ma anche la funzionalità masticatoria e la stabilità dell’occlusione nel tempo.

Prima e dopo trattamento con ortodonzia invisibile per l’allineamento dei denti

Vantaggi dell’ortodonzia invisibile

Tecnologia discreta per un sorriso armonioso
Gli allineatori trasparenti rappresentano una soluzione moderna, efficace e minimamente invasiva per correggere le malocclusioni.

Garantiscano estetica, precisione e comfort durante tutto il percorso terapeutico.

Grazie a un piano personalizzato, rispettano le esigenze cliniche e lo stile di vita del paziente.

Perché scegliere l’ortodonzia invisibile

Soluzione estetica avanzata

Discrezione totale
Gli aligner trasparenti sono quasi invisibili e permettono di sorridere con naturalezza durante tutto il trattamento.

Comfort quotidiano
Mascherine sottili e rimovibili riducono fastidi e facilitano igiene orale e alimentazione senza restrizioni.

Pianificazione personalizzata
Ogni trattamento è studiato su misura grazie alla scansione digitale e alla simulazione 3D del risultato finale.

Risultati progressivi e controllati
Il cambio programmato degli aligner guida gradualmente i denti verso l’allineamento ideale.

Prenota la tua visita

Vuoi migliorare l’allineamento dei denti in modo discreto e innovativo? 

Prenota una consulenza allo Studio Arena a Roma EUR: valuteremo il tuo caso con tecnologie digitali avanzate e creeremo un piano personalizzato per un sorriso armonioso e funzionale.

FAQ

Domande frequenti sull’ortodonzia invisibile e i nostri trattamenti ortodontici.

Assolutamente sì, è molto richiesta proprio dai pazienti adulti.

Sì, con l’utilizzo corretto delle contenzioni finali.

Il costo varia in base al caso clinico e alla durata del trattamento.

Con acqua tiepida e detergenti specifici, evitando fonti di calore.

No, vanno rimossi durante i pasti.

Generalmente ogni 1-2 settimane, secondo il piano stabilito.

Possono causare una lieve pressione iniziale, segno che stanno agendo correttamente.

Sì, ma vanno indossati almeno 20-22 ore al giorno per garantire efficacia.

Sono trasparenti e poco visibili nella vita quotidiana.

Dipende dalla complessità del caso; mediamente tra 6 e 18 mesi.

È indicata per molte malocclusioni lievi e moderate; la valutazione clinica stabilisce l’idoneità.

→ Appuntamenti
WhatsApp:
338 2650242
→ Risposte rapide
Lun, Mar, Ven: 10–14 / 15–19
Mer: 15–19 · Gio: 10–14 · 
Sab–Dom: Chiuso
Via del Serafico, 86 
00142 Roma RM

Studio Odontoiatrico - Dott. Arena Gilberto Maria

Roma EUR. 60 anni di esperienza, professionalità e tecnologie moderne per la cura dei pazienti.

© 2026 Studio Arena
- P.IVA
11781751000
Ideato, progettato e realizzato con il ♥ by
Webmaster Roma
Questo link apre una nuova finestra
Back to Top
phone-handsetcrossmenuchevron-down linkedin facebook pinterest youtube rss twitter instagram facebook-blank rss-blank linkedin-blank pinterest youtube twitter instagram